Asian Medical Press (AMP), founded in 2018, is dedicated to advancing translational and clinical medicine through peer-reviewed, open-access journals. We provide a platform for researchers and clinicians to share groundbreaking discoveries. Our flagship journal, Annals of Urologic Oncology, is a premier platform for publishing high-quality research in urologic oncology. Committed to academic integrity and accessibility, we ensure a seamless peer-reviewed publication experience and global dissemination of impactful scientific advancements. More >>
CASE REPORT | 07 Aug 2025
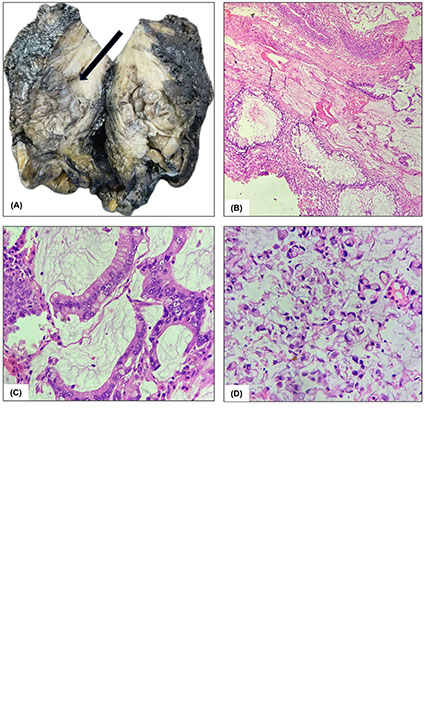
Anuradha Pandit, Shaivy Malik ... Charanjeet Ahluwalia. Primary mucinous adenocarcinoma (PMA) of the urinary bladder is a rare and aggressive ne......
REVIEW | 23 Jul 2025
Xinliang Xu, Minna Liu. Prostate cancer, a leading cause of cancer-related mortality in men, often progresses to metastatic castration-resistant......
REVIEW | 31 Jan 2025
Ali Usman. Prostate cancer is a worldwide health concern in men, with substantially high incidence rate and advanced metastatic disease-related ......
REVIEW | 04 Feb 2025
Fomukong Tasinda Raphael, Simon Nabirye. Gynecological malignancies, characterized by their aggressive nature and tendency to recur, are associa......
REVIEW | 20 Feb 2025
Samir Arabi, Sajjad Ahmad. The circadian clock and its inherent rhythms serve as the foundation for regulating many of the body’s vital processe......
REVIEW | 23 Feb 2025
Al Maskari Raya, Nomier Yousra. Aging, a complex process marked by the progressive decline in cellular and systemic functions, increases vulnera......